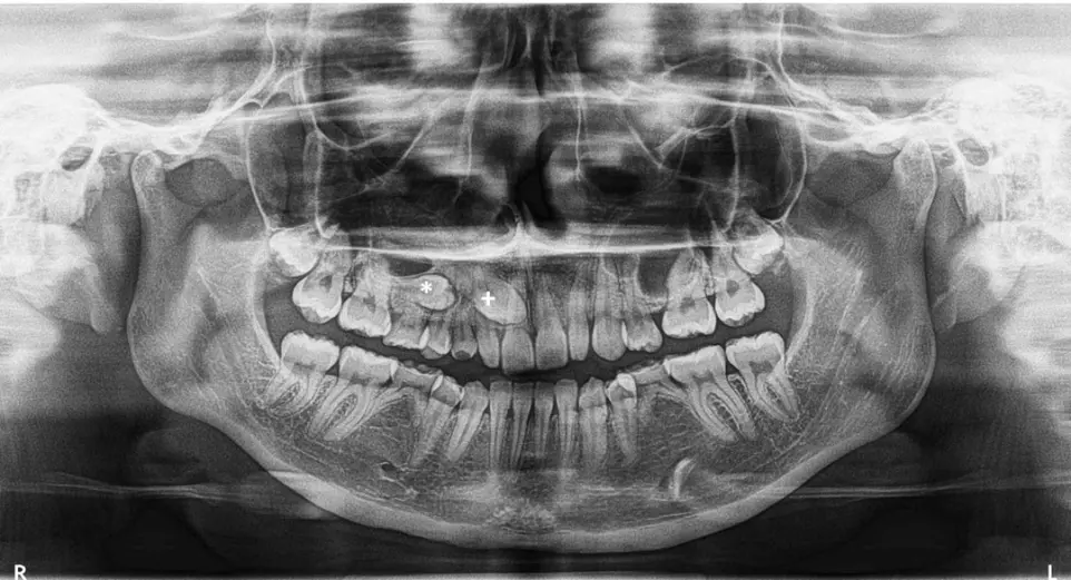
Radiografía Panorámica:
Lista en 15 Minutos, Sin Cita
Sabemos que tu tiempo es valioso. Por eso, en nuestro Centro Radiológico eliminamos las esperas. Ofrecemos el servicio de radiografía panorámica (ortopantomografía) con entrega inmediata: llegas, te tomamos la placa y sales con tu estudio impreso o digital en solo 15 minutos. No necesitas agendar cita previa; nuestra tecnología digital está siempre lista para brindarte una visión completa de tus dientes y maxilares al instante.
Radiografía Panorámica - Odontopantografía / Radiografía ATM - Temporomandibular / Lateral de Cráneo / Radiografía Carpal
4.9 ✭✭✭✭✭ / 8 Google Reviews
Diagnóstico Integral:
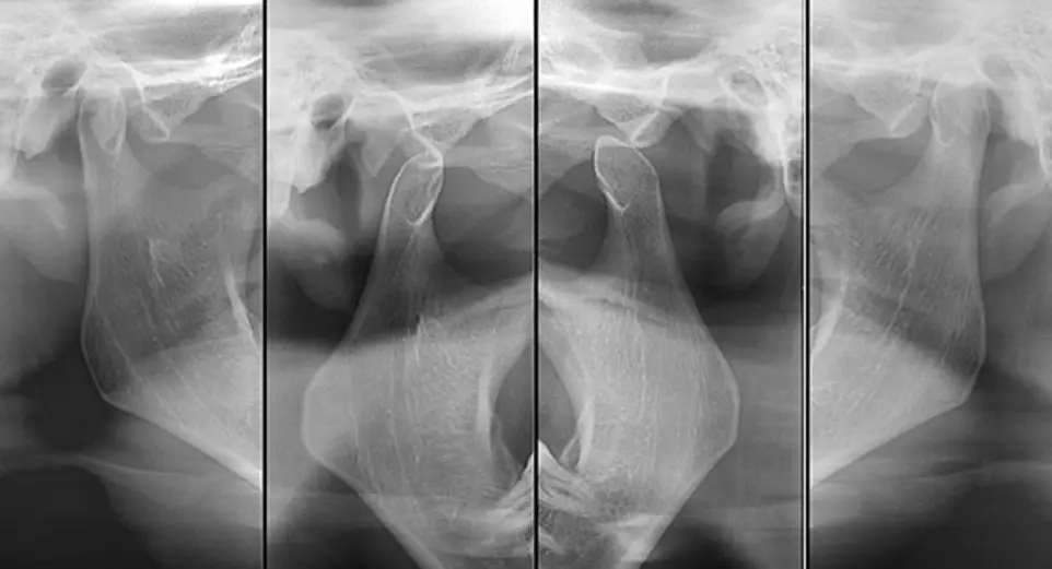
ATM, Lateral y Carpal
Nuestra tecnología no se limita a ver dientes; analizamos estructuras óseas complejas para un diagnóstico médico preciso. Además de la panorámica estándar, realizamos:
• Radiografía ATM: Para evaluar la Articulación Temporomandibular y detectar problemas de mandíbula.
• Lateral de Cráneo: Indispensable para trazos cefalométricos en ortodoncia.
• Radiografía Carpal: Para analizar el crecimiento óseo en niños y adolescentes a través de la muñeca.
Alta Definición Digital e Impresa
La calidad de la imagen es vital para que tu dentista detecte cualquier anomalía. Utilizamos equipos de radiología digital directa que reducen la exposición a la radiación y generan imágenes de alta definición. Te entregamos los resultados en el formato que tu especialista prefiera: impreso en placa física de alta resolución o enviado digitalmente a tu correo electrónico para que nunca pierdas tu historial clínico. Somos el apoyo diagnóstico confiable para pacientes y doctores externos.
FAQ Radiografías
P: ¿Necesito hacer cita para una radiografía?
R: No. Puedes acudir en cualquier momento dentro de nuestro horario y te atenderemos al instante (servicio sin cita).
P: ¿Cuánto tiempo tardan en entregarla?
R: Tu radiografía estará lista, procesada e impresa en aproximadamente 15 minutos.
P: ¿Qué es una Ortopantomografía?
R: Es el nombre técnico de la radiografía panorámica. Es una sola toma que muestra toda tu boca (dientes, maxilares y articulaciones) en una imagen plana.
P: ¿Puedo ir si mi dentista no es de Novodent?
R: Sí. Nuestro Centro Radiológico está abierto al público general y entregamos estudios profesionales válidos para cualquier especialista.
4.9 ✭✭✭✭✭ / 8 Google Reviews
Enrique Rentería
✭✭✭✭✭
"Magnifica atención, fui por una radiografía panorámica y una de ATM. Me recibieron sin cita y salí en 30 minutos. Los equipos nuevos y en general las instalaciones en excelente estado. Precios razonables."
Ivon Maya
✭✭✭✭✭
"Excelente servicio, amabilidad eficiencia y muy higiénico. Sin duda volvería a regresar"
María Guadalupe Becerril Becerril
✭✭✭✭✭
"Un servicio rápido, me trataron con mucha amabilidad"
Eduardoo Aldas Vargas
✭✭✭✭✭
"Buscaba un lugar para una placa panorámica y me encontré muy cerca de su clínica, una experiencia rápida con un excelente trato desde que te reciben y rapidez en su servicio los recomiendo ampliamente"


4.9 ✭✭✭✭✭ / 8 Google Reviews
Radiografía ATM - Temporomandibular / Lateral de Cráneo / Radiografía Carpal
Radiografía Panorámica:
Lista en 15 Minutos, Sin Cita
Sabemos que tu tiempo es valioso. Por eso, en nuestro Centro Radiológico eliminamos las esperas. Ofrecemos el servicio de radiografía panorámica (ortopantomografía) con entrega inmediata: llegas, te tomamos la placa y sales con tu estudio impreso o digital en solo 15 minutos. No necesitas agendar cita previa; nuestra tecnología digital está siempre lista para brindarte una visión completa de tus dientes y maxilares al instante.
Diagnóstico Integral:
ATM, Lateral y Carpal
Nuestra tecnología no se limita a ver dientes; analizamos estructuras óseas complejas para un diagnóstico médico preciso. Además de la panorámica estándar, realizamos:
• Radiografía ATM: Para evaluar la Articulación Temporomandibular y detectar problemas de mandíbula.
• Lateral de Cráneo: Indispensable para trazos cefalométricos en ortodoncia.
• Radiografía Carpal: Para analizar el crecimiento óseo en niños y adolescentes a través de la muñeca.
Alta Definición Digital e Impresa
La calidad de la imagen es vital para que tu dentista detecte cualquier anomalía. Utilizamos equipos de radiología digital directa que reducen la exposición a la radiación y generan imágenes de alta definición. Te entregamos los resultados en el formato que tu especialista prefiera: impreso en placa física de alta resolución o enviado digitalmente a tu correo electrónico para que nunca pierdas tu historial clínico. Somos el apoyo diagnóstico confiable para pacientes y doctores externos.
FAQ Radiografías
P: ¿Necesito hacer cita para una radiografía?
R: No. Puedes acudir en cualquier momento dentro de nuestro horario y te atenderemos al instante (servicio sin cita)
P: ¿Cuánto tiempo tardan en entregarla?
R: Tu radiografía estará lista, procesada e impresa en aproximadamente 15 minutos.
P: ¿Qué es una Ortopantomografía?
R: Es el nombre técnico de la radiografía panorámica. Es una sola toma que muestra toda tu boca (dientes, maxilares y articulaciones) en una imagen plana.
P: ¿Puedo ir si mi dentista no es de Novodent?
R: Sí. Nuestro Centro Radiológico está abierto al público general y entregamos estudios profesionales válidos para cualquier especialista.
4.9 ✭✭✭✭✭ / 8 Google Reviews
Enrique Rentería
✭✭✭✭✭
"Magnifica atención, fui por una radiografía panorámica y una de ATM. Me recibieron sin cita y salí en 30 minutos. Los equipos nuevos y en general las instalaciones en excelente estado. Precios razonables."
María Guadalupe Becerril Becerril
✭✭✭✭✭
"Un servicio rápido, me trataron con mucha amabilidad"
Eduardoo Aldas Vargas
✭✭✭✭✭
"Buscaba un lugar para una placa panorámica y me encontré muy cerca de su clínica, una experiencia rápida con un excelente trato desde que te reciben y rapidez en su servicio los recomiendo ampliamente"
Ivon Maya
✭✭✭✭✭
"Excelente servicio, amabilidad eficiencia y muy higiénico. Sin duda volvería a regresar"
Ortopantomografía - Panorámica
Radiografía Lateral Cráneo


Radiografía ATM
Boca Abierta / Boca cerrada
articulación temporomandibular
Radiografía Carpal
Se debe especificar una dirección para poder insertar un mapa
Sebastián Téllez
Odontología general
Israel Ramírez
Cirugía maxilofacial
Lizeth Hernández
Odontopediatría